Sheldon Family Dental

Glo Whitening

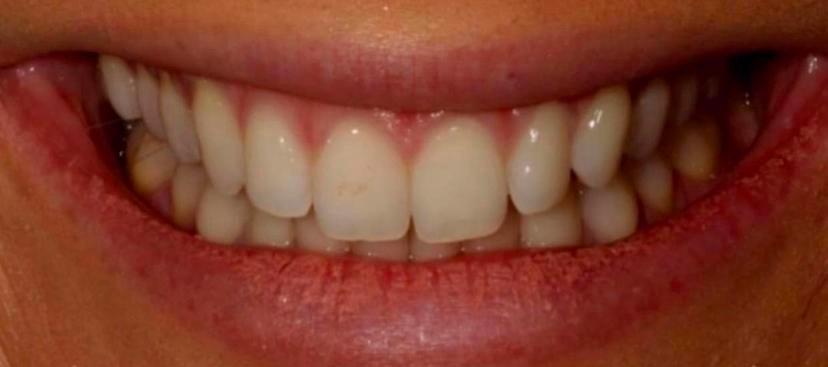
Glo whitening is an our in office whitening system that takes away years of staining from coffee, wine and any foods that causes yellow discoloration in just one treatment.  The treatment takes approximately one hour and you get a take home kit for you to maintain those pearly whites at home!

Related Services:

Cosmetic Dentistry
Heather
Heather

"Dr. Ali has been my dentist for years. He always makes sure I'm comfortable during procedures and thoroughly addresses any concerns I may have. I highly recommend him!"

 

Ready to book an appointment?
If you have difficulty using our website, please email us or call us at (734) 451-1188
View the ADA Accessibility Statement