Sheldon Family Dental

Smile Gallery: Cosmetic Dentistry

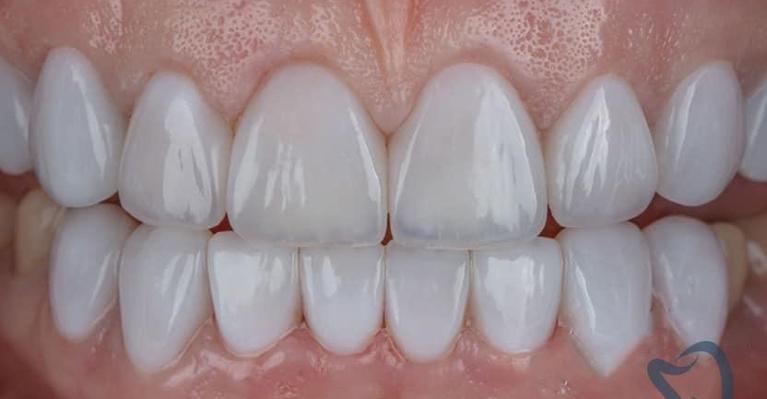
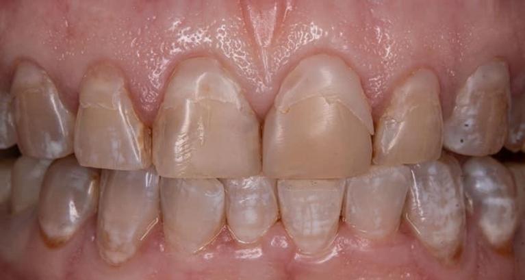
Welcome to our smile gallery, where you can browse photos of some of our best work. We hope that you find inspiration here for what is possible for your own smile. If you are considering cosmetic dentistry or you need help getting on track with your oral health, we look forward to hearing from you.

In the meantime, enjoy our before-and-after photos. We look forward to providing you with the same exceptional results.

Ready to book an appointment?
Heather
Heather

"Dr. Ali has been my dentist for years. He always makes sure I'm comfortable during procedures and thoroughly addresses any concerns I may have. I highly recommend him!"

 

If you have difficulty using our website, please email us or call us at (734) 451-1188
View the ADA Accessibility Statement